症例
- 三宮の歯医者「しょうげん歯科医院」TOP
- 新着情報一覧
- 症例
- 右上奥歯の大きな虫歯に対して、神経の保存治療を行った症例
右上奥歯の大きな虫歯に対して、神経の保存治療を行った症例
- 治療前

- 治療後

今回は、右上奥歯の大きな虫歯に対して、神経の保存を行った症例をご紹介致します。
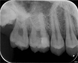
治療前

右上の奥歯の痛みが主訴でご来院されました。
右上6番に大きな虫歯があり、虫歯の範囲が歯の中の神経に近接していました。通常の保険診療では歯の神経を抜く治療(歯の根の治療)になりますが、電気的な検査で神経の反応は正常であったので、虫歯治療と神経の保存療法(歯髄保存療法)を提案し、患者様の合意を頂いたので治療をすすめることになりました。
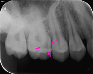
上のレントゲン写真では右上6番に虫歯で歯が溶けている部分があります(矢印部) 。
治療中


虫歯治療中のマイクロスコープでの写真です。
唾液の混入防止(唾液には細菌がおりこれを排除しないと口の中で無菌に近い環境を保てません)でラバーダムを装着しております。
上の写真は染色する液で虫歯を染めています。虫歯は残っています(青色部)が、矢印の部分には神経が透けています。
下の写真は虫歯を全部除去した状態です。矢印の部分が歯の神経が露出している部分で、出血があります。神経はピンク色で血管に富みよい状態でした。

治療中のマイクロスコープでの写真です。
神経に穴が開いてしまっている部分を封鎖するためにMTAセメントを用いました。矢印の白色のものがMTAセメントです。
MTAセメントは歯の神経を細菌から保護する作用があります。
治療直後

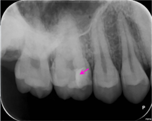
歯髄保存療法直後のレントゲン写真です。矢印の部分がMTAセメントで、その外側はコンポジットレジンで緊密に閉鎖しています。
治療後1カ月

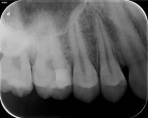
歯髄保存療法1か月後のレントゲン写真です。MTAの層が厚く、強度出すためにを一部のMTAを除去してコンポジットレジンの層が厚くなるように調整しております。
特に状態は変わらず、歯の周りの組織にも異常は見られませんでした。
電気的な検査で神経は正常でした。
治療直後の2日ほどは少し痛みがありましたが以降は痛みなく経過しています。
治療後2カ月

歯髄保存療法2か月後のレントゲン写真です。特に状態は変わらず、歯の周りの組織にも異常は見られませんでした。
電気的な検査で神経は正常でした。
軽度の知覚過敏症状が見られました。
治療後3カ月

歯髄保存療法3か月後のレントゲン写真です。特に異常は見られませんでした。
電気的な検査で神経は正常でした。
知覚過敏症状は改善していました。
治療後1年

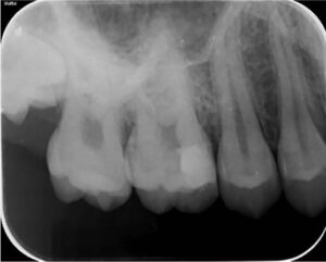
歯髄保存療法1年後のレントゲン写真です。矢印の部分に2次象牙質(歯の神経機能が正常なため神経に穴が開いた部分に自己再生能が働き象牙質が形成され閉鎖していました)が見られました。
電気的な検査で神経は正常でした。
自覚症状は全くありませんでした。
治療後

虫歯が大きいと神経の治療(歯の根の治療)が必要になりますが、根の治療を行うと歯の耐久性は大幅に低下してしまいます。虫歯が大きくても神経機能が正常であれば、上記の症例の様に神経に及ぶような大きな虫歯でもMTAセメントを用いることで神経を保存することでき、根の治療を回避することができます。治療の介入回数も少なく、患者様はとても満足しておられました。
| 治療内容 | 歯髄保存治療(自費診療) |
|---|---|
| 治療期間 | 2日(以降は経過観察のみ) |
| 治療費 | 33,000円(税込) |
| 治療する際に起こる リスク・副作用 |
治療期間がかかります。歯の神経の状態によってはこの治療を行っても、術後に壊死または歯髄炎に移行(何もしていなくても痛くなります)して、歯の根の治療が必要になる場合があります。MTAセメントを使用した歯は長期的には歯の色が暗くなる場合があります。 |
監修者情報

しょうげん歯科医院
院長 正元 洋介
しょうげん歯科医院院長で、日本口腔外科学会口腔外科専門医。大阪大学歯学部卒・博士(歯学)。大学病院や口腔外科での豊富な臨床経験をもとに、精密な診断と丁寧な説明を重視した診療を行っている。
