審美歯科
- 三宮の歯医者「しょうげん歯科医院」TOP
- 審美歯科
見た目だけでなく、機能性を重視した審美治療

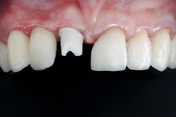
審美歯科の目的は、単に歯の色や形を整えるだけでなく、調和の取れた美しい口元を実現することです。しかし、見た目だけを追求して噛み合わせが不安定な状態では、美しさを長く保つことはできません。
三宮の歯医者「しょうげん歯科医院」では、歯の見た目だけでなく、お口全体の健康と機能性を考慮した審美治療を大切にしています。噛み合わせを含む土台から整えることで、被せ物や詰め物の長持ちをサポート。自然な美しさと機能性を両立させ、患者さまの理想的な口元を目指します。
奥歯の噛み合わせまで考えた、精密な治療

前歯の見た目を整える審美治療でも、実は奥歯の噛み合わせが重要な役割を果たします。奥歯がしっかり機能していなければ、食事や会話の際に前歯に過剰な力がかかり、被せ物が欠けたり外れたり、ご自身の歯にダメージを与える原因になることもあります。
当院では、審美治療の計画時にお口全体のバランスを詳細に確認するため、検査や模型作成を行い、噛み合わせを綿密にチェックします。経験豊富な歯科医師が、前歯だけでなく奥歯の状態も含めた総合的な治療計画を立てることで、前歯の美しさを長期にわたり保つことが可能です。お口全体の機能を考慮することで、審美性の維持と健康的な噛み合わせの両立を実現しています。
技工士と連携して作る、長持ちする自然な歯

精度の高い審美治療には、歯科医師の技術だけでなく、補綴物を作る歯科技工士との連携が欠かせません。当院では、噛み合わせや機能面まで理解し、それを正確に再現できる熟練の歯科技工所と密に協力しています。
患者さま一人ひとりの口腔内に合わせて、歯の形や色、そして噛み合わせの精度にまでこだわった補綴物を作製することで、適合性の高い、長く使えるセラミック治療を提供しています。技工士との綿密なコミュニケーションにより、自然で違和感のない美しい仕上がりを実現します。
審美歯科メニュー
e-max(インレー)

透明度が高く、天然歯に近い自然な色合いを持つセラミック素材の詰め物です。金属を使用しないためアレルギーの心配がなく、強度にも優れています。
ジルコニアセラミック(クラウン)

人工ダイヤモンドとしても知られるジルコニアを内側に使用した被せ物です。圧倒的な強度を持ちながら、外観は歯に近い色合いを出せ、奥歯にも適しています。
ラミネートベニア

歯の表面をわずかに削り、薄いセラミックのシェルを貼り付ける治療法です。歯の形や色、すき間を短期間で整え、美しい口元に導きます。
ファイバーコア

被せ物の土台として歯の根に使用します。グラスファイバーとレジンの土台で、金属製の土台と異なり光を透過するため、セラミックの透明感を損なわず、天然歯に近い色合いを保つことができます。
治療後の美しさと機能を長く保つために

せっかく時間と費用をかけて行った審美治療は、できるだけ長く美しく、快適に保ちたいものです。そのためには、日々のセルフケアと歯科での定期的なメインテナンスが欠かせません。
補綴物は、毎日の食事やブラッシング、プラークの蓄積などで少しずつ影響を受けることがあります。定期的なメインテナンスでは、噛み合わせの微調整や、自宅では落としきれない歯や補綴物の周囲の汚れを丁寧にクリーニングします。
これにより、虫歯や歯周病の予防だけでなく、審美的な美しさとお口全体の健康を長期にわたって守ることができます。
