症例
- 三宮の歯医者「しょうげん歯科医院」TOP
- 新着情報一覧
- 症例
- 右上の前歯の歯茎から膿が出た状態の歯の根に対して根管治療を行った症例
右上の前歯の歯茎から膿が出た状態の歯の根に対して根管治療を行った症例
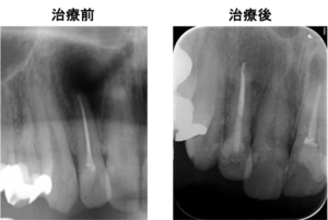
- 治療前

- 治療後

今回は、右上の前歯の歯茎から膿が出た状態の歯の根に対して根管治療を行った症例をご紹介致します。
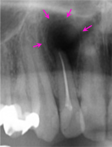
治療前

右上の前歯の歯茎から膿が出ることを主訴にご来院されました。
右上2番の歯の根の先に炎症があり膿が出ていたので、しっかりとした根の治療(精密根管治療)を提案し、患者様の合意を頂き治療を行うこととなりました。
左図のレントゲン写真では右上2番の根の先に炎症があり大きく骨が溶けている部分があります(矢印部) 。
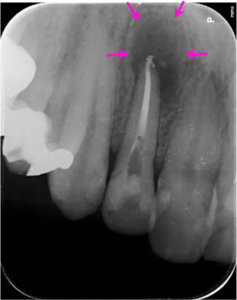
治療中

初診より3回目の治療の後、歯の根の中を清掃し終わった後に内部に薬(MTA)を詰めた直後のレントゲン写真です。
薬は根の中に緊密に詰まっています。一部先から漏れている部分もありますが、のちに吸収されていきます。この時点で初診時と比べて骨が吸収されている部分の境界がぼやけて範囲が小さくなり、改善している兆候がみられます。
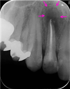
治療後1ヶ月

根の治療終了1か月後にグラスファイバーの芯棒を用いた歯の土台(根の治療を行った場合に行う治療です)を立て、その上にコンポジットレジンにて修復を行なった際のレントゲン写真です。根の先の骨の溶けている部分の大きさはさらに縮小傾向が見られます。歯の根の治療の後は通常は歯のかぶせによって治療を完了しますが、前歯で残存歯質が十分にあり、この患者様はたくさん歯質を削るかぶせの治療を希望されませんでしたので、このような治療を行いました。
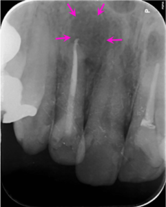
治療後6ヶ月

根の治療6か月後のレントゲン写真です。矢印の骨の溶けている部分の大きさが小さく、境界も不明瞭になり、回復してきています。
治療後1年

根の治療1年後のレントゲン写真です。矢印の骨の溶けていた部分は周囲との境界がなくなり、溶けている部分がわからなくなりました。歯の根の周りに一層の骨との境界のライン(歯と骨をつなぐ歯根膜という組織がある部分です)が回復し、歯の周囲組織の本来の姿を取り戻し、完全な回復が見られます。
治療前後

上の2番目の歯は根の先が曲がっており、従来の歯の根の治療では先の部分がうまく清掃、殺菌できず、再治療が多い歯でもあります。しかし、歯の根に合わせて柔軟に曲がって根の中のばい菌をしっかり除去できるニッケルチタンファイルを使用し、抗菌性のある材料で根の中をつめると、炎症で骨が溶けている部分が大きいこのような歯でも治癒に導くことができます。
| 治療内容 | 自費根管治療 |
|---|---|
| 治療期間 | 2ヶ月(以降は経過観察のみ) |
| 治療費 | 110,000円(税込) |
| 治療する際に起こる リスク・副作用 |
・根管治療の難易度によっては治療に期間がかかる場合があります。 |
監修者情報

しょうげん歯科医院
院長 正元 洋介
しょうげん歯科医院院長で、日本口腔外科学会口腔外科専門医。大阪大学歯学部卒・博士(歯学)。大学病院や口腔外科での豊富な臨床経験をもとに、精密な診断と丁寧な説明を重視した診療を行っている。
