症例
- 三宮の歯医者「しょうげん歯科医院」TOP
- 新着情報一覧
- 症例
- 他院で治療が困難だといわれた根管治療の症例
他院で治療が困難だといわれた根管治療の症例
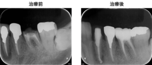
- 治療前

- 治療後

今回は、他院で治療が困難だといわれた根管治療を行った症例をご紹介致します。
治療前

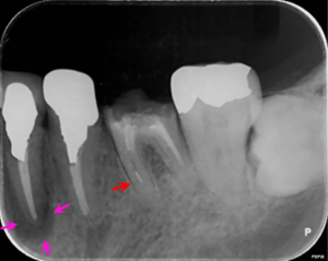
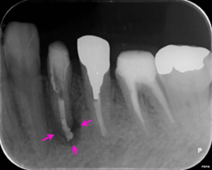
左下の奥歯が前医にて根管治療できないので治療してほしいとの主訴で来院されました。
左下6番の歯の根の中に折れている器具(矢印赤)があり、前医ではこれ以上根管治療が不能とのことでした。また、病変のある左下4番の歯の根管治療も提案し、患者様の合意を頂き治療をすすめることになりました。
左図のレントゲン写真では左下4番の歯の根の先に炎症があり骨が溶けている部分があります(矢印ピンク) 。
治療中

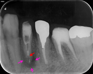
左下6番の歯の根の中の折れている器具を除去した後のレントゲン写真です。矢印赤のところにあった器具が除去されていることがわかります。

左下6番の歯の根の中を清掃し終わった後に内部に薬を詰めた直後のレントゲン写真です。
薬は根の中に緊密に詰まっています(矢印ピンク)。

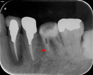
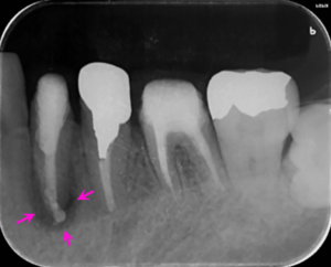
左下6番の歯の根管治療終了3か月後に、左下4番の歯の根管治療を開始した後のレントゲン写真です。以前に根に詰めてあった薬を除去している途中です(矢印赤)。まだ根の先の骨の溶けている部分の大きさは変わりません(矢印ピンク)。

左下4番の歯の根の中を清掃し終わった後に内部に薬を詰めた直後のレントゲン写真です。
薬は根の中に緊密に詰まっています。根管形態が複雑ではなかったため1回の根管治療で治療完了しました。根の先の骨の溶けている部分の大きさは縮小してきました(矢印ピンク)。

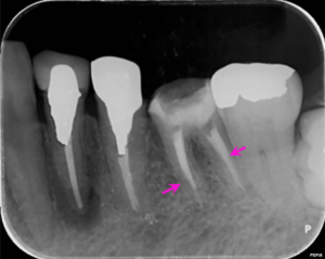
左下6番の歯の根管治療終了5か月後、左下4番の歯の根管治療終了3ヶ月後のレントゲン写真です。左下4番の歯の根の先の骨の溶けている部分の大きさには大きな変化はまだありませんでした(矢印ピンク)。

左下6番の歯の根管治療終了9か月後、左下4番の歯の根管治療終了6ヶ月後のレントゲン写真です。左下4、6番の歯とも症状はなく、左下6番の歯にジルコニアクラウンを装着しました。左下4番の歯の根の先の骨の溶けている部分は著明に縮小しました(矢印ピンク)。今後、左下4番の歯にはジルコニアクラウンを装着する予定です。
治療後

左下6の歯は器具の破折があり他院では治療不可と言われたそうですが、マイクロスコープ下での根管治療にて器具を除去して根管治療を完遂しました。また、炎症によるやや大きな骨吸収がみられた左下4番の歯も保存でき、治癒に導くことができます。治療困難であった歯を保存できて、患者様はとても喜ばれておられました。
リスク・副作用治療期間がかかります。歯の神経の状態によってはこの治療を行っても、術後に壊死または歯髄炎に移行(何もしていなくても痛くなります)して、歯の根の治療が必要になる場合があります。MTAセメントを使用した歯は長期的には歯の色が暗くなる場合があります。
| 治療内容 | 根管治療(自費診療) |
|---|---|
| 治療期間 | 3ヶ月(2歯の根管治療の治療期間、以降は経過観察のみ) |
| 治療費 | 330,000円(税込、かぶせの費用は含まず) |
| 治療する際に起こる リスク・副作用 |
・根管治療の難易度によっては治療に期間がかかる場合があります。 |
監修者情報

しょうげん歯科医院
院長 正元 洋介
しょうげん歯科医院院長で、日本口腔外科学会口腔外科専門医。大阪大学歯学部卒・博士(歯学)。大学病院や口腔外科での豊富な臨床経験をもとに、精密な診断と丁寧な説明を重視した診療を行っている。
