症例
- 三宮の歯医者「しょうげん歯科医院」TOP
- 新着情報一覧
- 症例
- 左下奥歯の歯に対して、根管治療を行った症例
左下奥歯の歯に対して、根管治療を行った症例
- 治療前

- 治療後

今回は、左下奥歯の歯に対して、根管治療を行った症例をご紹介致します。
主訴
「左下の奥歯の痛みがある」との事で来院されました
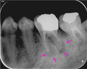
治療前

左下の奥歯の痛みの主訴でご来院しました。
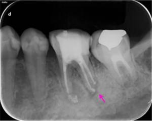
左下6番の歯の根の先に炎症があり膿が出ていたので、根の治療(根管治療)を提案し、患者様の合意を頂き治療をすすめることになりました。
左図のレントゲン写真では根の先に炎症があり骨が溶けている部分があります(矢印部) 。
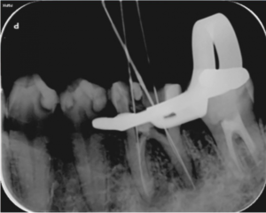
治療中

歯の根の治療中のレントゲン写真です。
歯の根の中を清掃する器具を入れています。根の中のばい菌を除去してきれいにしています。
↓

歯の根の中を清掃し終わった後に内部に薬を詰めた直後のレントゲン写真です。
薬は根の中に緊密に詰まっています。一部先から漏れている部分もありますが、のちに吸収されていきます。
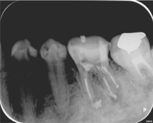
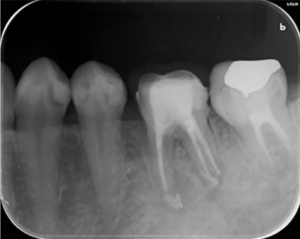
1ヶ月後

根の治療1か月後にグラスファイバーの芯棒を用いた歯の土台(根の治療を行った場合に行う治療です)を立てた際のレントゲン写真です。まだ根の先の骨の溶けている部分の大きさは変わりません。
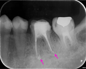
2ヶ月後

根の治療2か月後のレントゲン写真です。矢印の部分の骨の溶けている部分の大きさが小さくなっています。
4ヶ月後

根の治療4か月後のレントゲン写真です。骨の溶けている部分の透過性(黒さ)が改善して(薄くなって)、治癒に向かっている様子がうかがえます。治療後から咬む際の痛みなどの症状は無くなり、治療後2カ月で仮歯を装着されています。
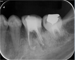
9ヶ月後

根の治療9か月後のレントゲン写真です。矢印の根の先の骨の溶けている部分は無くなっています。この後、仮歯からジルコニア製のかぶせを装着されました。
治療後

奥歯は複数の根があり、根の病気になるとなかなか治癒させるのが難しいです。しかし、原因となる根の中のばい菌をしっかり除去し、抗菌性のある材料で根の中をつめるとこのように治癒に導くことができます。治療の初期に症状が全くなくなったため、患者様はとても喜ばれておられました。
| 治療内容 | 自費根管治療 |
|---|---|
| 治療期間 | 2ヶ月(以降は経過観察のみ) |
| 治療費 | 165,000円(税込) |
| 治療する際に起こる リスク・副作用 |
・根管治療の難易度によっては治療に期間がかかる場合があります。 |
監修者情報

しょうげん歯科医院
院長 正元 洋介
しょうげん歯科医院院長で、日本口腔外科学会口腔外科専門医。大阪大学歯学部卒・博士(歯学)。大学病院や口腔外科での豊富な臨床経験をもとに、精密な診断と丁寧な説明を重視した診療を行っている。
