症例
- 三宮の歯医者「しょうげん歯科医院」TOP
- 新着情報一覧
- 症例
- 右側上顎大臼歯の圧下を併用してインプラント治療を行った症例
右側上顎大臼歯の圧下を併用してインプラント治療を行った症例
- 治療前

- 治療後

こんにちは。
しょうげん歯科医院、院長の正元洋介です。
今回は、右上の奥歯を矯正的に圧下させて、歯の無い部分にインプラント治療とブリッジによる治療を行い、咬み合わせを回復した症例をご覧いただきます。
患者様は、50代男性の方で、他に歯科医院に通院されておられましたが、上の前歯のかぶせが良く外れるので何とかして欲しいことと、右下の奥歯の無い部分には入れ歯を製作したが合わず使用できなかった、前医ではこれといった治療方針がなく、全然治療が進まないのでしっかり治療して欲しいとの希望で来院されました。
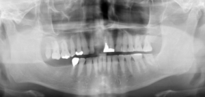
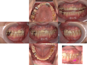
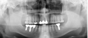
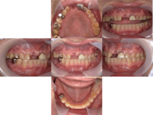
では、初診時の口腔内写真とレントゲン写真です。
初診時

治療方針としては、歯ぎしりの力が強いので、歯を削ったり、根の治療を行うと歯の根の部分が折れてしまうリスクがあるため、できるだけ今ある歯を削らず保存して治療するとし、右下の奥歯の歯の無い部分に他の治療方法より機械的強度的が強いインプラントで咬み合わせを回復させた上で、上の前歯をブリッジでの治療する、歯ぎしりによる歯の保護のためマウスピースを使用する、という治療計画を立てしました。
右下の奥歯のインプラント治療を行うにあたり、インプラントのかぶせのためのスペースがないので、伸びている右上の奥歯を何とかして、右下の奥歯のインプラント治療のためのスペースを確保することとしました。できるだけ歯を削らない方針の下、右上の奥歯を矯正的に圧下してインプラント治療のためのスペースを確保することとしました。
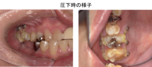
矯正的圧下は模型上でシミュレーションを行ってから行いました。圧下の経過を示します。
治療中



矯正用のアンカースクリューを用いて右上の奥歯を圧下しました。
右上の奥歯を圧下した後の口腔内写真です。

右下の奥歯のインプラント治療を行えるスペースが出来たので、インプラント治療のためのシミュレーションを行いました。

技工士さんにインプラントの最終的なかぶせのイメージをワックスで製作してもらいました。

設定したかぶせに対し、良い位置で右下の奥歯2本にインプラントを埋入するようにシミュレーションしました。


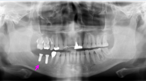
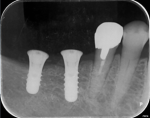
右下インプラント埋入直後のレントゲン写真です。
矢印部に下顎内の神経があり、これを避け、隣の歯と十分距離が保てるような位置でインプラントを埋入できました。
右下の奥歯のインプラントに仮り歯を装着した後の口腔内写真です。

当院ではインプラント治療の際には必ず仮歯を作製します。
仮歯の目的は、本歯を入れる前のリハーサルで、本歯にした際のトラブルを事前にあぶり出すという目的があります。奥歯が無い状態でしばらく過ごしていた方は、前歯や反対側の歯で咬む癖がついてしまっている場合や弱っていた歯を庇うように咬んでいる場合があります。
治療では、そうした本来の咬み合わせでない状態から、患者様が持つ自然な咬み合わせに戻さないといけません。仮歯は削ることも、足すこともできるので、仮歯入れて調整し、咬み合わせを安定させます。
その他にも、歯の無い部分に歯を作った場合、口の中の状態が大きく変化するので、舌や頬を咬んでしまうということもあります。口の中はスペースがあるとそのスペースを埋めようと、頬や舌が肥大化してきます。その状態で急に歯が入ると膨らんだ頬や舌を咬んでしまいます。この問題は、仮歯を装着してしばらく過ごしてもらうと改善します。どうしても咬む場合は、仮歯を調整して対応します。
本歯を入れる前のリハビリという意味で、仮歯はとても重要です。
そうして、咬めているか、見た目は問題ないか、発音に支障はないか、清掃性はいいか、頬や舌は咬まないかなど多くの項目をクリアした後に、本歯にしていきます。
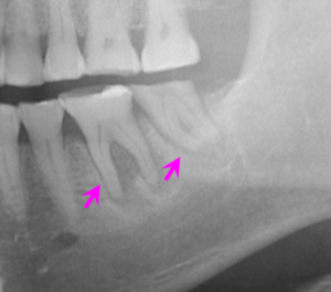
仮歯を装着後に、左下の奥歯の歯ぐきに炎症が出現しました(矢印部)。

左下の奥歯のレントゲン写真です。
矢印部の骨が炎症にて吸収されていました。
歯ぎしりによる歯の摩耗で細菌の感染を受けて炎症が起こっていました。そのため、歯の根の治療を行いました。

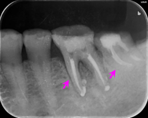
左下の奥歯の根の治療後のレントゲン写真です。
矢印部にみられた骨の吸収像はなくなり、歯ぐきの炎症も改善しました。

炎症は改善したものの、歯ぎしりが強く歯の根が破折してしまいました。
歯ぎしりが強く、歯を削るブリッジでの治療は同様に治療した歯の破折を招く可能性が高いため、この部分もインプラント治療を行うこととしました。
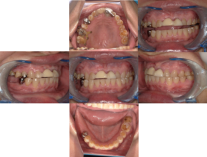
治療終了後の口腔内写真とレントゲン写真を示します。
治療終了後


左下奥歯のインプラントも同様に3ヶ月の待機期間(インプラントが骨に結合する期間)の後に、仮り歯を製作し、その後本歯に移行しました。
インプラント治療で奥歯の咬み合せができてから前歯のブリッジでの治療を行い、マウスピースを装着して歯ぎしりから防御しています。
当院では、インプラント治療で口腔内スキャナを応用していますので、仮り歯の形態を本歯に容易に反映させることができ、仮り歯からスムーズに本歯に移行できます。
患者様も満足していただきました。
インプラント治療においては、埋入本数が多いものや、骨を回復させる量が多いもの、咬み合わせが崩れているものは、一般的に難症例と言われます。今回の患者様も、難易度が高い症例でした。難しい症例でも、培ってきた技術、経験、知識を総動員してご対応させていただきます。
他院で難しいと言われた方も、以前にインプラント治療を断られた方も、是非とも当院にご相談ください。
歯科医師、スタッフ共に誠心誠意対応させていただきます。
| 治療内容 | インプラント治療、部分矯正治療(自費治療) |
|---|---|
| 治療期間 | 1年6ヶ月間 |
| 治療費 | 1,464,100円(インプラント治療、部分矯正治療の自費治療分のみの合計) |
| 治療する際に起こる リスク・副作用 |
・残存骨の量や質によってはインプラント治療の前に人工骨骨移植が必要な場合があります。 |
監修者情報

しょうげん歯科医院
院長 正元 洋介
しょうげん歯科医院院長で、日本口腔外科学会口腔外科専門医。大阪大学歯学部卒・博士(歯学)。大学病院や口腔外科での豊富な臨床経験をもとに、精密な診断と丁寧な説明を重視した診療を行っている。
