右下の奥歯の歯の根に炎症があり膿が出ていた歯の根に対する根管治療の症例
今回は、右下の奥歯の歯の根に炎症があり膿が出ていた歯の根に対して根管治療を行った症例をご紹介いたします。
症例紹介
治療前

左下の奥歯の痛みの主訴でご来院しました。
左下6番の歯の根の先に炎症があり膿が出ていたので、根の治療(根管治療)を提案し、患者様の合意を頂き治療をすすめることになりました。
左図のレントゲン写真では根の先に炎症があり骨が溶けている部分があります(矢印部) 。
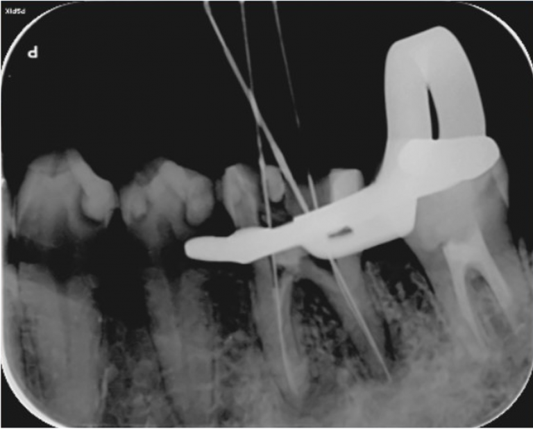
治療中

歯の根の治療中のレントゲン写真です。
歯の根の中を清掃する器具を入れています。根の中のばい菌を除去してきれいにしています。

歯の根の中を清掃し終わった後に内部に薬を詰めた直後のレントゲン写真です。
薬は根の中に緊密に詰まっています。一部先から漏れている部分もありますが、のちに吸収されていきます。

根の治療1か月後にグラスファイバーの芯棒を用いた歯の土台(根の治療を行った場合に行う治療です)を立てた際のレントゲン写真です。まだ根の先の骨の溶けている部分の大きさは変わりません。

根の治療2か月後のレントゲン写真です。矢印の部分の骨の溶けている部分の大きさが小さくなっています。

根の治療4か月後のレントゲン写真です。骨の溶けている部分の透過性(黒さ)が改善して(薄くなって)、治癒に向かっている様子がうかがえます。治療後から咬む際の痛みなどの症状は無くなり、治療後2カ月で仮歯を装着されています。

根の治療9か月後のレントゲン写真です。矢印の根の先の骨の溶けている部分は無くなっています。この後、仮歯からジルコニア製のかぶせを装着されました。
治療後

奥歯は複数の根があり、根の病気になるとなかなか治癒させるのが難しいです。
しかし、精密根管治療でマイクロスコープを用いて、目視下で原因となる根の中の汚れを除去し、抗菌性のある材料で根の中をつめるとこのように治癒に導くことができます。治療に伴い症状が全くなくなったため、患者様はとても喜ばれておられました。
| 治療名 | 自費根管治療 |
| 治療期間 | 2ヶ月(以降は経過観察) |
| 費用 | 198,000円(税込) |
| リスク・副作用 | ・根管治療の難易度によっては治療に期間がかかる場合があります。 ・治療に際して歯根の破折が判明した場合は根管治療自体が適応できません。 ・残存歯質が少ない場合、噛み合わせの力が強い場合には、術後に歯の根が折れてしまう場合があります。 ・MTAセメントを使用するので、長期的に歯の根の色が暗くなる場合があります。 ・根の先の炎症の原因が複雑な場合、精密根管治療を行っても治癒しない可能性があります。その場合は歯根端切除術を併用する場合があります。 |

口腔外科
インプラント
根管治療
審美歯科
小児歯科
入れ歯












電話予約
オンライン予約
アクセス
メニュー